太ももを強く打った『モモカン』は放置NG!早めの受診が回復を早くする
スポーツ中に相手の膝が太ももに入ったり、ボールが強く当たったりして起こる 「モモカン(大腿部打撲)」。
一瞬「うわっ!」という激痛が走り、そのあと歩くのも辛くなることがあります。
多くの人は
「まあ打撲だし、そのうち治るでしょ」
と思いがちですが、実は早めに適切な処置をしないと治りが長引くケガです。
特に部活生・スポーツ選手は要注意!
目次
モモカンは“ただの打撲”ではない

モモカンの正体は 筋肉の強い損傷+内出血(血腫)。
太もも(大腿四頭筋)は体の中でも大きな筋肉なので、
一度強い衝撃を受けると 中で大きな血腫ができることがあります。
血腫が深い位置にできると、
•太ももがパンパンに張る
•曲げ伸ばしが痛い
•歩くたびにズキッとする
•内出血が広がる
といった症状が長期間続くことも。
放置すると最悪「骨化性筋炎」に
最も避けたいのは 骨化性筋炎 という合併症。
簡単に言うと、筋肉の中に“骨のようなもの”ができてしまう状態です。
これが起こると…
•太ももが固いまま治らない
•強く曲げられない
•スポーツ復帰が大幅に遅れる
•ひどい場合は手術が必要
となることもあります。
骨化性筋炎は 受傷後の処置が間違っていた場合や損傷が大きい場合などのなりやすい場合があるため、
受傷後できるだけ早期に、エコー検査と検査結果に合わせた処置を行うことが骨化性筋炎を避ける為に重要です。
骨化性筋炎は発症すると、治るまでに数ヶ月かかります。発症してからでは遅いので、受傷初期の適切な処置が大事になります。
早めに来院した方がいい理由
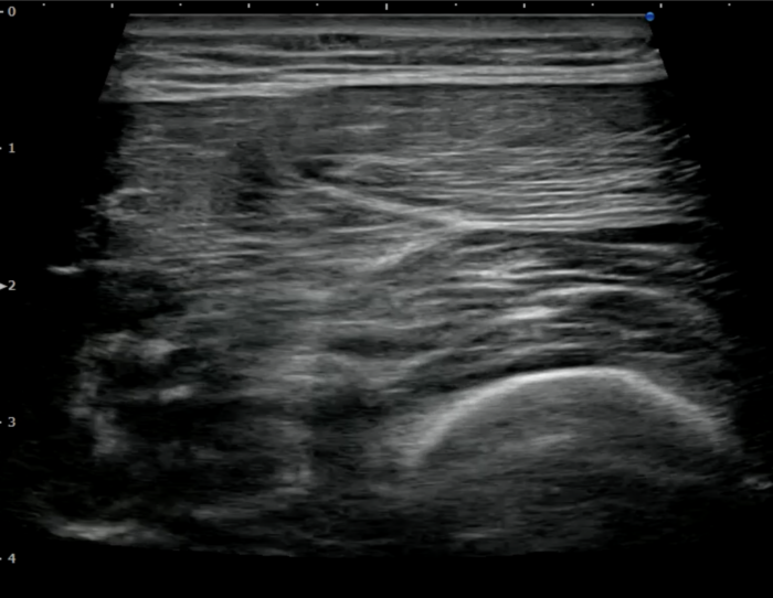
① エコーで血腫の大きさ・深さを確認できる
モモカンは、見た目だけでは重症度が分かりません。
エコー検査を使うと、
•浅い血腫か?
•深い血腫か?(←重症化しやすい)
•筋肉の断裂があるか?
を正確に判断できます。
エコー検査についてはこちら→エコーってなに?〜レントゲンに写らないものを見つける〜
② 今の状態に合った処置ができる
•アイシング
•圧迫
•超音波治療
•テーピング
•固まり防止のストレッチ指導
•運動再開のタイミングの指示
など、状態に合わせた施術を行うことで、
回復が早く、合併症も防ぎやすくなります。
③ 不安なくスポーツ復帰できる
「これ以上やっていいの?」
「練習して大丈夫?」
といった不安を解消し、
安全に練習へ戻れるようサポートできます。
モモカンは検査と検査に合わせた処置が超重要なので、自己判断せず「とりあえずの受診」をおすすめしています。
こんな症状があったら早めの受診を
以下のどれかに当てはまるなら、放置せずぜひご相談ください。
•歩くと痛い
•走るとズキッとくる
•太ももがパンパンに腫れている
•内出血がどんどん広がる
•曲げようとすると痛くて曲がらない
•奥がズーンと痛む(深層血腫の疑い)
「そのうち治る」は危険です。
最後に
モモカンは、重症度によりますが、多くは早期に正しく対応すれば1〜3週間で復帰できるケガです。
逆に、“間違った処置”や“放置”が一番治りを遅くします。骨化性筋炎になれば数ヶ月かかります。
スポーツを続けている方、部活生の方、
モモカンを受けたら、できるだけ早い「とりあえず受診」をおすすめします。
応急処置
検査ができない状況での応急処置はできるだけ楽な姿勢でアイシングをしてください。膝を曲げたり、ストレッチしたりするのは詳しい検査をしてからにしましょう。




